顔面外傷の診療
①ABCD
| A | 気道閉塞:下顎骨骨折により仰臥位にて舌が咽頭側へ落ち込む、口腔咽頭部の浮腫、大量出血、凝固塊、轢断(れきだん)組織片、入れ歯などで気道閉塞する。 |
| B | 低酸素血症:血液や異物の誤飲による低酸素血症が生じうる。 |
| C | 血圧低下:動脈損傷による大量出血→軟部組織創出血は圧迫で止血可能だが、顔面骨折に伴う口腔・鼻腔からの大量出血は止血困難であり、確実な気道確保を行った上でガーゼパッキング→べロックタンポン→バルーンカテーテル→外頸動脈結紮を用いた止血を行う。 |
| D | GCS |
②問診・身体所見
| 問診 | 十分にコミュニケーション取れれば、受傷部位、外力の種類と強さ、呼吸困難、嚥下・構音障害、感覚障害、視覚障害、聴覚障害、平衡障害、顎運動、咬合を聴取する。 |
| 視診 | 腫脹、変形、外出血、皮下血腫、開放創、顔面の外観と運動の左右差、眼部・鼻腔・口腔・外耳道の内部、口腔開閉運動 ※上記を認めた場合は関連する診療科にコンサルトする |
| 触診 | 顔面の隆起部を指でなぞり圧痛の有無を確認しながら凹凸や異常可動性を感じ取る![]() |
| 推測 | 上記問診や身体所見から骨折の可能性を推測をする ①顔面上1/3:眼窩上縁〜頭髪縁②顔面下1/3:下顎 ③顔面中1/3:①と②の間 |
③画像所見で骨折を確認
骨折は軟部組織腫脹の軽減する1〜2週間後に行う(緊急性の高い眼窩底骨折を除く)
| 詳細 | |
| 前頭骨骨折 | 頭蓋骨骨折を参照 |
| 鼻骨骨折 | |
| 症状 | 鼻の変形(斜鼻、鞍鼻)、鼻閉塞、鼻出血など |
| 鼻篩骨骨折 | |
| 眼窩壁骨折 | 吹き抜け骨折とも言われ、ボールや肘などの鈍力が前方から加わり眼窩内圧が急激に上昇して薄い眼窩下壁・内壁が骨折し、下直筋など眼窩内組織が上顎洞内へ嵌頓して、眼球の上転障害をきたす |
| 症状 | 上方視時の複視 |
| 所見 | 眼球上転障害、眼球陥凹(眼窩下壁が骨折し、時間が経つと眼窩内容の一部が上顎洞内に嵌入するため)![]() |
| 眼窩底骨折 | 眼窩壁骨折の内、眼窩底が骨折するもので、以下3つは緊急手術が必要 ①眼球迷走神経反射を伴う若年者眼窩底骨折:眼球圧迫や周囲組織の絞扼解除 ②若年者の線状/trap door型眼窩底骨折:下直筋の虚血を解除 ③受傷後早期に2mm以上の眼球陥没がある眼窩底骨折:早期手術が望ましい |
| 頬骨骨折 | 頻度は高いが頬部腫脹のため陥没は目立たないことが多い |
| 上顎骨骨折 | 両側性ではLe Fort分類でⅠ〜Ⅲに分類される 重症度:Ⅰ型(上顎骨歯槽)<Ⅱ型(上顎骨+眼窩壁)<Ⅲ型(眼窩内) ![]() |
| 症状 | 鼻腔・口腔からの出血、咬合異常 |
| 所見 | 視診で顔面中央の陥凹、触診で上顎骨の動揺 |
| 下顎骨骨折 | |
| 症状 | 咬合異常 |
| 所見 | 耳前部圧痛、開閉口障害、Tongue blade test陽性![]() |
脳損傷の分類
| 一次性脳損傷 | ー | 外力によって不可逆的に脳実質が直接損傷(介入不可) |
| 二次性脳損傷 | ー | 受傷後、様々な因子で生じ、適切な処置で軽減可能(介入可) 二次性脳損傷には頭蓋内因子と頭蓋外因子がある |
| 頭蓋内因子 | 血腫などによる圧迫、脳虚血、脳浮腫、けいれん、感染など※ | |
| 頭蓋外因子 | 低酸素血症、低血圧、低血糖、貧血など(初期治療で実施) |
※頭部外傷後、来院時には話ができる程度の軽い意識障害の患者が、その後に急激な意識障害をきたすことがある。これは高齢者に多く、脳浮腫や遅発性外傷性脳内血腫の進展で急変する。
頭蓋内圧亢進・脳ヘルニア
頭蓋内圧亢進(症状)
| 病態 | 脳腫瘍などの頭蓋内占拠性病変、脳浮腫、水頭症などによって頭蓋内圧が亢進する状態。 その結果、脳ヘルニアを引き起こす。下行性脳ヘルニアのリスク↑のため腰椎穿刺は禁忌 ![]() 脳ヘルニアとは、大脳鎌の縁、テント切痕、大孔を介して脳組織がシフトすること。 |
| 症状 | 【急性】 ①激しい頭痛(早朝起床時に強い)、悪心嘔吐(噴射状) ②Cushing現象:①血圧上昇、②徐脈、③緩徐深呼吸(乏血状態に対する代償反応) ③動眼神経麻痺:一側性の散瞳と眼球の外方転位 【慢性】 ①起床時の頭痛:呼吸↓によりPaCO2↑して脳血管拡張するため |
| 検査 | 頭部CTで以下の脳ヘルニアの有無を確認(脳幹圧迫があれば危険) 【切迫脳ヘルニアの有無の確認】 切迫脳ヘルニアとは緊急減圧が必要な状態で、具体的にはテント切痕ヘルニアや大後頭孔ヘルニアがある状態のこと。CTにて、大きな占拠性病変、5mm以上の正中偏位、脳底槽の圧迫もしくは消失を認める場合は切迫脳ヘルニアを疑い、以下を確認する。 ![]() |
| 治療 | ①高浸透圧利尿薬(グリセロール、マンニトールなど)の投与 ②ステロイド(BBB修復して頭蓋内圧低下) ③バルビツレート・低体温療法により脳代謝抑制 ④脳室ドレナージなど外科的処置で内減圧 ⑤過換気 |
脳ヘルニアの分類
※3つはまとめてテント切痕ヘルニアという
| 症状 | 予後 | |
| 大脳鎌下へルニア 帯状回ヘルニア |
初期は無症状→前大脳動脈圧迫により対側 or 下肢の運動・感覚障害、前大脳動脈閉塞により脳梗塞を生じる場合がある。必ず鉤ヘルニアに先んじて生じるため、臨床的に重要!![]() CT:Monro孔の圧迫による健側の側脳室の拡大(特に側脳室下角が早期に開大) |
良 |
| 鉤ヘルニア※ | 初期は病変側の動眼神経麻痺(対光反射消失し散瞳→瞳孔不同) さらに進行すると・・・↓![]() |
↓ |
| 正中ヘルニア※ | 間脳の圧迫して両側散瞳 | ↓ |
| 上行性ヘルニア※ | 小脳が上行し中脳を圧迫 | ↓ |
| 大後頭孔ヘルニア | 小脳が下行して大孔に陥入し、延髄を圧迫して急激に意識障害・呼吸停止、項部硬直を生じる。上行性ヘルニアを起こす可能性もあり、四丘槽の後部が圧迫され非対称になったり平坦化した状態となる。 | 悪 |
頭部外傷の診療

①ABC
| AB | 外傷に伴い一過性に呼吸停止する場合がある |
| C | 血圧低下:頭部外傷単独では低血圧にはならない、外液合併する出血性損傷を考慮しつつ、脊髄損傷、心挫創、心タンポ、緊張性気胸なども考慮する |
| D | 以下の切迫するDを評価し、いずれかを認めた場合はすぐ脳外科にコンサルト ①GCS8点以下/経過中にGCS2点以上低下→気管挿管する ②意識障害あり瞳孔不同、片麻痺、高血圧+徐脈(Cushing現象) |
②重症度分類
| 転帰 | ||
| 軽症 | GCS 14〜15 | 観察入院 |
| 中等症 | GCS9〜13 | 中等症以上の外傷は脳外科にコンサルト |
| 重症 | GCS8以下(昏睡) | 脳外科的処置ができる病院へ速やかに転院 |
③身体所見
| 問診 | 頭痛、視力障害、複視、聴力障害、咬合の不具合を聴取 |
| 受賞基点、どれくらいの高さからぶつけたか、着地面の材質は何か | |
| 視診 | 頭皮顔面の外表創、外耳孔・鼻孔・口腔内からの出血を確認 ※外耳孔・鼻孔から流出する血液が水分が多くサラサラの場合ダブルリング試験を行う ![]() |
| 触診 | 頭部全体を触診し圧痛や陥没骨折を確認 |
④画像検査による分類
ABCが安定化したことを確認したら画像検査に行ってよい
| 分類 | 小分類 | 詳細 |
| ①頭蓋骨骨折 | ー | 線状骨折、陥没骨折、縫合離解を生じる |
| 円蓋部骨折 | ①骨折線が血管溝と交差:急性硬膜外血腫のリスク ②開放陥没骨折:1cmを超える陥没、髄液流出 ③陥没骨折による静脈洞圧迫:緊急手術 |
|
| 頭蓋底骨折 | 眼周囲や耳介後部の皮下出血斑、鼻出血、耳出血 脳神経麻痺:神経診察で所見 血管損傷: 気脳症:髄液漏や逆行性の頭蓋内感染に注意 |
|
| ②局所性脳損傷 | ー | 脳ヘルニアをきたす場合は手術が必要 |
| 脳挫傷 | 脳実質損傷のことで、実質組織の破壊と微小血管の破綻により、脳浮腫と小出血が混在する。![]() |
|
| 急性硬膜外血腫 | 頭蓋骨骨折により硬膜上の硬膜動脈や静脈洞から出血し硬膜外に血腫をつくる。意識清明期があり、CTで凸レンズ型の高吸収が特徴。![]() |
|
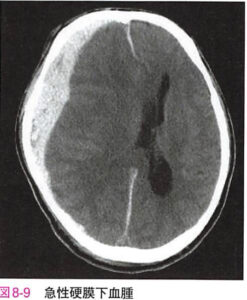
| 急性硬膜下血腫 | 脳表の架橋動脈や脳実質から出血し、硬膜下に血腫をつくる。CTで硬膜とくも膜の間に三日月状の高吸収が特徴。![]() |
|
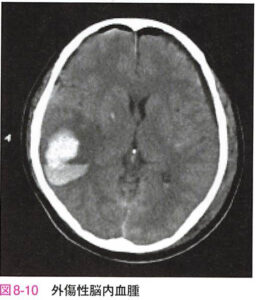
| 外傷性脳内血腫 | 脳挫傷による小出血が癒合し、脳内血腫に進展して形成されることが多い(多くは72時間以内)![]() |
|
| ③びまん性脳損傷 | 一般的に手術適応なく、対症療法 | |
| 脳振盪 | 形態的な損傷を伴わず、一過性の神経機能異常を呈するもの。受傷直後〜6時間以内の意識消失を伴う古典的脳振盪と、意識消失はないが、一過性の神経兆候(記憶障害、平衡障害など)を呈する軽度脳振盪がある。 | |
| びまん性軸索損傷 | 受傷直後より遷延する意識障害があるが、頭蓋内占拠性病変がみられないもの。MRIでは損傷部位がT2強調で急性期から高信号として描出される。![]() |
|
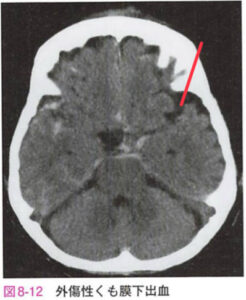
| 外傷性SAH | 脳底槽のくも膜下出血はびまん性脳損傷の間接的初見とも言われている。脳血管攣縮を合併することもある。![]() |
|
| びまん性脳腫脹 | 一次性脳損傷に加え、受傷早期の低血圧、低酸素血症、高二酸化炭素血症などによる二次性脳損傷が加わりびまん性脳腫脹が生じると考えられている。![]() |
|
| その他 | 頭蓋内血管損傷 | 受傷時に動脈の血管内皮が損傷し、時間が経過してから動脈解離による脳梗塞や仮性動脈瘤の破裂による出血をきたす。 |
| 穿通性脳損傷 | 穿通したものは抜去せず脳外科にコンサルトする。 | |
| 外傷性てんかん | 早期発症は急性症候性発作であり治療を要する。 |
⑤重症の場合
| ①呼吸管理 | 酸素化の管理目標:SpO2 98%以上、AガスのPaO2 80mmHg以上 |
| CO2の管理目標:AガスのPaCO2が頭蓋内圧亢進時は30〜35mmHg、頭蓋内圧正常時は35〜45mmHg | |
| ②循環管理 | sBP:110mmHg以上、MAP:90mmHg以上、脳灌流圧:50mmHg以上、Hb 10g/dL以上 |
| ③体温 | 高体温の場合、速やかに平熱まで冷却する |
| ④頭蓋内圧管理 | 除去すべき占拠性病変が存在し、頭蓋内圧の亢進所見、脳ヘルニア徴候が進行する場合、手術までの間、上半身を30°挙上しマンニトール0.25〜1.0g/kgを急速点滴するが、循環動態の変化に注意する。 |
| ⑤抗凝固薬 | 抗凝固薬を内服中の患者に頭蓋内出血を合併した場合、リバースを検討する。 |
| ⑥手術適応 | ![]() |
⑥中等症・軽症の場合
| ① | 軽症なら危険因子を確認し、該当すれば頭部CTは必須。GCS15でも一過性の意識消失や健忘がある場合、頭部CTが推奨されている。![]() |
| ② | CTで異常所見が認められる場合、あるいはCTで異常所見がなくても危険因子を伴う場合やGCS14点以下の場合、少なくとも24時間の入院経過観察が勧められる。意識清明になるまでは絶飲食が勧められる。![]() |
頭蓋底骨折 Skull base fracture
| 病態 | 顔面・頭部打撲して頭蓋底の円蓋部の線状骨折が頭蓋骨に波及する病態。髄液漏で髄液と入れ替わり空気が頭蓋内に入る場合がある(頭蓋内気腫=気脳症)。 |
| 症状 | 前頭蓋底骨折(篩板骨折):嗅覚障害、髄液鼻漏、パンダ目(眼窩周囲皮下出血) 内頸A海綿静脈洞瘻:拍動性眼球突出、結膜充血&浮腫、眼窩部の拍動性雑音が3徴 側頭骨縦骨折:伝音難聴、ときにBattle徴候(耳介後部皮下出血←中頭蓋底骨折) 側頭骨横骨折:内耳N障害(感音難聴)、顔面N麻痺 視神経管骨折:眉毛外側の外傷で生じやすく、視力障害(直接対光反射消失) 頭蓋内圧亢進:頭蓋内気腫・血腫により頭痛、嘔吐 |
| 検査 | 【画像検査】 X線:頭蓋内気腫ではガラス片様の低吸収域 CT:頭蓋内気腫では低吸収域 |
| 治療 | 髄膜炎予防のため抗菌薬投与 頭蓋内圧亢進では原疾患治療までに30度の頭位挙上・呼吸管理・抗脳浮腫薬静注、重症例では脳室ドレナージして圧解放。 |
脳挫傷・外傷性脳内血腫
| 病態 | 脳実質損傷のこと。脳挫傷による小出血が癒合し、脳内血腫に進展して形成されることが多い。 ※出血部位が前頭葉や側頭葉にあることが脳出血との鑑別点に有用 |
| 症状 | |
| 検査 | 頭部CT:時間経過とともに冠状断像でごま塩状の変化が見られることがある![]() |
| 治療 |
急性硬膜外血腫 Acute epidural hematoma
| 病態 | 頭蓋骨骨折により頭蓋骨と硬膜との間に出血(中硬膜A破綻が約60%と最多)が起こり、脳実質を圧迫する病態。![]() |
| 症状 | ①数時間の意識清明期の後に急激な意識障害(テント切痕ヘルニアによる脳幹圧迫) |
| 検査 | 【画像検査】 頭部CT:骨折部に凸レンズ型の高吸収域(受傷直後は認めないこともある)→骨と骨のつなぎ目以上には広がらないのため凸レンズになるのが特徴 |
| 治療 | 血腫が1cm以上の場合、緊急開頭して開頭血腫除去+出血源止血 |
急性硬膜下血腫 Acute subdural hematoma
| 病態 | 頭部外傷により脳表の静脈(複合型)>架橋V(単純型)が破綻し、硬膜下に血腫が生じた病態。乳幼児では強く頭を揺さぶられて架橋Vが破綻するshaken baby syndromeがある。![]() ![]() |
| 症状 | ①外傷直後の意識障害、もし意識があれば頭蓋内圧亢進症状(頭痛など) |
| 検査 | 【画像検査】 頭部CT:硬膜下に沿った三日月型の高吸収域 |
| 治療 | 緊急開頭して開頭血腫除去+出血源止血 |
びまん性軸索損傷 DAI
| 病態 | 頭部への回転加速度衝撃による剪断損傷により、広範な白質神経線維の断裂が生じる病態。主に交通事故によるものが多い。過半数が死亡し、1/3が植物状態に至る。 |
| 症状 | 【受傷直後】 直後から強い意識障害: 【回復期】 高次脳機能障害:遂行機能障害、社会的行動障害、人格変化、認知障害など |
| 検査 | 【画像検査】 CT:明らかな頭蓋内損傷は認めない MRI:FLAIR像で脳梁・上小脳脚・脳幹の白質に小さな高信号領域の散在 |
| 治療 | 日常生活・社会生活への適応が困難となることから、リハビリテーション、生活支援などの確立に向けた取り組みが注目されている |
内頸動脈海綿静脈洞瘻(硬膜動静脈瘻) CCF
| 病態 | 頭部外傷などで、海綿V洞の中を走行する内頸Aが破綻して瘻が生じた疾患。その結果、内頸A→海綿V洞に血流が流れ、眼Vへ逆流して眼Vがうっ血する。![]() |
| 分類 | 直接型CCFは外傷性と特発性に分けられるが外傷性は稀(間接型CCFは硬膜AVFを参照)![]() |
| 症状 | ①拍動性眼球突出 ②結膜充血&浮腫 ③眼窩部の拍動性雑音 ④その他:複視(動眼3N〜外転6Nが圧迫:海でさぶろう) |
| 検査 | 【画像検査】 内頸A造影:海綿V洞が早期に描出 |
| 治療 | 【手術】 海綿静脈洞塞栓術:眼Vの瘻孔閉鎖し、眼窩内圧を下げて充血・複視を改善させる |
慢性硬膜下血腫 Chronic subdural hematoma
| 病態 | 軽微な頭部外傷による微量の出血が生じ、硬膜下に被膜を伴う血腫が徐々に拡大する病態。アルコール多飲者や高齢者に多く(脳萎縮?)、受傷後3週間〜6ヶ月で発症する。![]() |
| 症状 | 外傷後、約1〜2ヶ月後に、以下の頭蓋内圧亢進症状が出現する 慢性頭痛、嘔気嘔吐、片麻痺、歩行障害、記名力低下、自発性低下、尿失禁 |
| 検査 | 【画像検査】 頭部CT:硬膜下に沿った三日月型の低〜高吸収域を認める場合が多い、血腫により正中構造の偏位を示す場合もある ※血腫は高度の貧血や凝固能低下がない場合、約1週間は高吸収を示すが、出血後2〜3週間で脳実質と等吸収となり区別がつきにくい場合がある点に注意、両側性の場合もある! 頭部MRI:頭部CTでわかりにくい場合や症状が出る前の微細な出血を診断する場合、FRAIRで明瞭な高信号を示すことが多い(T1やT2は時期により様々なパターンを示す) |
| 治療 | 脳外科にコンサルトか紹介する 無症状:経過観察する場合もある 神経症状あり:穿頭血腫ドレナージ術 石灰化あり:開頭手術 |
硬膜下水腫 subdural hygroma
| 疫学 | 頭部外傷の5%程度 |
| 病態 | 外傷後、硬膜下に髄液と等濃度の液体貯留が見られることがある。硬膜下水腫はくも膜の断裂によって、くも膜下腔と硬膜が交通し、脳脊髄液が硬膜下腔に漏出することにより生じる。くも膜と交通がないものは、被膜によって被包化され、subdural effusionと呼ばれ、慢性硬膜下血腫に移行することがある。逆に慢性硬膜下血腫が分解されて、硬膜下水腫となることもある。硬膜下水腫および慢性硬膜下血腫は、しばしば画像での鑑別は困難で、併せて硬膜下液体貯留(subdural fluid collection)と総称して呼ばれることがある。硬膜下水腫は、髄膜炎や低髄液圧症候群で見られることもあり。![]() |
| 症状 | 受傷後数日で発生し、 |
| 検査 | 【画像検査】 頭部CT:脳表の三日月状の低吸収で、内部に血管が走行している(脳萎縮との鑑別) 頭部MRI:水腫はFLAIRで低信号となるが、血腫は高信号となる。 |
| 治療 | 多くは経過観察で軽快する |
※上記を認めた場合は関連する診療科にコンサルトする
①顔面上1/3:眼窩上縁〜頭髪縁


















※出血部位が前頭葉や側頭葉にあることが







頭部MRI:水腫は

コメント