クモ膜下出血 SAH:Subarachnoid Hemorrhage
| 疫学 | SAH発症の1/3が死亡、1/3が後遺症、1/3が社会復帰できる。 |
| 病態 | 動脈瘤(約85%)、中脳周囲非動脈瘤性SAH(約10%)などで血管が破裂してくも膜下腔に出血する疾患。その結果、脳ヘルニアとなり意識障害から死亡する可能性がある。 ①急性期:(再破裂による)出血→血腫→脳実質圧迫→脳ヘルニア ②亜急性期:脳血管攣縮→広範な脳梗塞(脳虚血)→脳浮腫→頭蓋内圧亢進→脳ヘルニア ③慢性期:髄液内出血→急性水頭症→脳ヘルニア また、交感神経↑により神経原性肺水腫→呼吸困難も引き起こす。 |
| 外傷性 | 外傷局所やその対側や脳底槽の一部に薄くみられることが多い![]() |
| 症状 | 【髄膜刺激症状】 ①突然の激しい頭痛:血液が髄膜を刺激するため ※警告出血:初回のくも膜下出血は出血量も軽微であり頭痛も軽度の場合がある ②意識障害:低Na血症、脳ヘルニア ③悪心・嘔吐:BBBのないCTZを血液が刺激するため ④動眼神経麻痺:一側の散瞳や眼瞼下垂など(ICPC動脈瘤など) |
| 所見 | ・項部硬直:仰臥位で他動的に頸部を前屈させると痛みを訴え下顎が前胸部につかない ・Brudzinski徴候:項部硬直時に患者が痛みを軽減するため、股関節や膝関節を屈曲させて下肢を胸に引き寄せる現象 ・Kernig徴候:仰臥位で股関節+膝関節を90°に屈曲させた状態で他動的に膝関節を上に伸展させると腰や大腿後面に痛みを訴える |
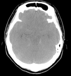
| 検査 | 【画像検査】 ①頭部CT:鞍上部周囲にヒトデ型の高吸収域、脳実質内血腫を伴う場合あり ②MRI:①ではっきりしない場合はFLAIRで出血を確認 ③腰椎穿刺:②で不明な場合は血性髄液(直後)・キサントクロミー(数日後)を確認 ④最終的には脳血管撮影・3D-CTA・MRAで動脈瘤の部位同定や評価を実施 |
| 原因 | 動脈瘤破裂が85%、それ以外の原因が15%![]() ![]() |
| 原因 精査 |
【原因動脈瘤を推定する方法】 ①くも膜下出血部位 ![]() ![]() ②脳実質内部位 ![]() ![]() ③filling defect sign 破裂動脈瘤自体が周囲に存在する高吸収を呈するくも膜下出血中に相対的な低吸収として描出される(未破裂動脈瘤がfilling defect signとして描出されるため) |
| 治療 | 【急性期(24時間以内)】←再破裂予防+頭蓋内圧亢進予防 24時間以内の再破裂を防ぐため降圧+鎮痛+鎮静する(この状態だと半日くらい放置しても問題ない)。血管攣縮前(72時間以内)であれば開頭→クリッピング術やカテーテル→コイル塞栓術を行う。 ①降圧:ニカルジピン(sBP160mmHg未満に、過度の降圧はしない) ②鎮痛:ペンタゾシン(ソセゴン®)③鎮静:プロポフォール(ディプリバン®) |
| 【亜急性期(72時間〜2週間)】←脳血管攣縮予防 出血した血液成分によって脳血管攣縮が起こり脳虚血が起こる(72時間〜2週間)。その予防のため血腫除去、トリプルH(輸液により循環改善・血圧上昇・血液希釈)を行う。 |
|
| 【慢性期(数週〜数ヶ月)】 出血により続発性の正常圧水頭症が起こり(数週〜数ヶ月)、認知症・尿失禁・歩行障害などで発症する。その際は水頭症に対する治療を行う。 |
脳動脈瘤 Cerebral aneurysm
| 病態 | 主に脳動脈分岐部にできる血管の瘤で、約20%は多発性で女性に多い。 先天的には動脈壁の中膜欠損、後天的には高血圧や動脈硬化などが原因となる。 <好発部位> うちの高校の前校長は中央大学出身 約30% 内頸A-後交通A分岐部:IC-PC(易破裂) 約30% 前交通A(易破裂) 約20% 中大脳A分岐部 その他 脳底A先端部(易破裂) ※脳底Aを除き、脳動脈瘤はWillis動脈輪の前半部に発生する(約80%)。 ![]() |
| 症状 | 【未破裂】 基本的に無症状。ICPCの動脈瘤は動眼神経を圧迫し、先ず、外側の副交感N成分圧迫で散瞳を起こす。さらに運動N成分圧迫で眼瞼下垂・複視といった動眼神経麻痺を呈する。 【破裂】 くも膜下出血を参照 |
| 検査 | 【画像検査】 MRAや3D-CTAでスクリーニングを行い、脳血管撮影で治療を前提とした血行動態の評価を行う。 ※ICPCの動脈瘤は漏斗状拡張と鑑別する必要がある Pcomが突出部の根元から分岐する→動脈瘤後交通動脈(Pcom)が突出部の先端から分岐する→漏斗状拡張(正常変異) ![]() |
| 治療 | 無症状の場合:経過観察+血圧コントロール 神経圧迫症状がある場合:未破裂であれば救命できるため、開頭クリッピング術 or カテーテル→コイル塞栓術を行う(破裂した場合はクモ膜下出血を参照) |
偽性くも膜下出血
| 概要 | 脳浮腫により脳実質が低吸収となり相対的にくも膜下腔が高吸収に見える、または、頭蓋内静脈のうっ滞や拡張により絶対的にくも膜下腔が高吸収に見えるなどでSAHと誤診されうる状態。 |
| 原因 | ![]() |
| 鑑別 | CT値を計測し、SAHと偽性SAHを鑑別しよう![]() |
| 例 | びまん性脳浮腫の場合![]() |







②鎮痛:ペンタゾシン(ソセゴン®)
Pcomが突出部の根元から分岐する→動脈瘤





コメント