耳鼻咽喉科 Common diseases(扁桃炎・扁桃周囲膿瘍)

耳鼻咽喉科

 

疫学 20〜30歳代に好発
病態
症状 ①急性扁桃炎症状:発熱、激しい嚥下時痛、頸部リンパ節腫脹、膿栓
開口障害:炎症が翼突筋へ波及したため(急性扁桃炎との違い)
検査 【身体検査】
視診:口蓋垂の健側偏位(患側の口蓋弓が腫脹するため)(急性扁桃炎との違い)
【画像検査】
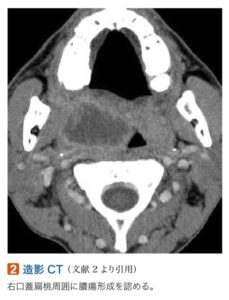
頸部造影CT:片側口蓋扁桃の腫大、中心部に低吸収の膿瘍
治療 ①気道緊急が疑われる場合、気管挿管(緊急時は外科的気道確保
②抗生剤点滴
例:ABPC/SBT(ユナシン®) 3g/6hr
③口腔側からの切開排膿
扁桃周囲膿瘍の再発:口蓋扁桃摘出術

扁桃炎

概要 一般的に口蓋扁桃炎を指し、多くは咽頭炎を伴う。
病態 急性扁桃炎を繰り返して慢性的な扁桃炎となっているもの習慣性扁桃炎といい、扁桃から離れた遠隔臓器にも障害をきたし、RA、IgA腎症、掌蹠膿疱症、心筋炎、胸肋鎖骨過形成症などを起こす。
症状 ①咽頭痛・嚥下痛、発熱、倦怠感
②放散性耳痛、頸部リンパ節圧痛を訴えることもある
③水様性鼻汁、咳嗽、頭痛など:ウイルス性の可能性
※摂食困難や呼吸苦があれば扁桃周囲膿瘍や急性喉頭蓋炎を考える
所見 視診:口蓋扁桃の発赤腫脹、扁桃陰窩の膿栓(白苔付着)
触診:頸部リンパ節腫脹
検査 ①抗原検査:溶連菌抗原検査、アデノウイルス迅速検査(小児)
②血液検査:好中球優位の白血球上昇は細菌性を、リンパ球増加や肝機能障害があれば田先生単核球症を疑う
③腹部エコー:肝機能障害があれば肝脾腫の有無を確認
④造影CT:扁桃周囲膿瘍を疑う場合
治療 ①細菌性の場合

②重症の場合
手術 口蓋扁桃摘出術の適応:1年あたりの扁桃炎の罹患回数×扁桃炎罹患年数=8以上で手術適応「扁桃炎インデックスより」(術後1週間入院+激しい扁桃痛)

扁桃周囲膿瘍

病態 口蓋扁桃炎に続発するものが多く、炎症が扁桃被膜外側に波及し膿瘍形成したもので、致命的な気道閉塞をもたらしうる。深頸部膿瘍や降下性壊死性縦隔炎に至ることもある。
原因菌 嫌気性菌>>A群β溶連菌>インフルエンザ菌、黄色ブドウ球菌
症状 ①強い咽頭痛・嚥下痛、発熱、倦怠感
②含み声、開口制限、摂食困難、呼吸苦
③放散性耳痛、頸部リンパ節圧痛を訴えることもある
所見 視診:口蓋扁桃の発赤腫脹、扁桃陰窩の膿栓(白苔付着)、口蓋垂偏位、開口制限
触診:頸部リンパ節腫脹
検査 造影CT:膿瘍腔の範囲や動脈の蛇行、喉頭浮腫を確認
細菌培養:膿瘍穿刺での嫌気培養(専門医)、穿刺できない場合は抗菌薬開始前に口蓋扁桃から培養をとる。
治療 膿瘍腔の径が1cm未満なら切開しないことも多い

コメント

タイトルとURLをコピーしました