咽頭痛の概要
咽頭痛の多くは咽頭炎であり、咽頭炎の多くはウイルス性である。

咽頭痛の診察

咽頭痛のred flag
口腔から視認できない頸部解剖と症状を結びつける。

| 激痛 | 人生最大の痛み |
| 流涎 | 唾液の飲み込みが難しくなりよだれが流れ出る |
| 声の変化 | 喉頭蓋の浮腫(マッフルボイス←嗄声ではない)、嗄声 |
| 嚥下困難 | 咽頭後壁の炎症により咽頭が狭くなる |
| 開口障害 | 傍咽頭間隙を経由し、咀嚼筋へ炎症が及ぶと咀嚼筋が収縮したまま固定される |
| 咽頭所見 | 咽頭や扁桃の発赤腫大のない咽頭痛 |
5 killer sore throat +αを除外
5 killer sore throatは、発症から4〜5日経過している場合が多い。
| 問診、身体診察 | 検査 | |
| ①急性喉頭蓋炎 | 嚥下困難、muffled voice、舌骨部の圧痛 | 高圧X線、血液培養 |
| ②扁桃周囲膿瘍 | 開口障害、口蓋垂偏位・浮腫状腫脹 | 頸部造影CT、血液培養 |
| ③咽後膿瘍 | 椎体前面の軟部組織の著名な腫大 | 頸部造影CT、血液培養 |
| ④口腔底蜂窩織炎 | 下顎〜頸部の著名な腫大、舌の腫大 | 頸部造影CT、血液培養 |
| ⑤Lemierre症候群 |
先行する歯痛・咽頭痛→頸部の激痛と腫脹 | 頸部造影CT、血液培養 |
| アナフィラキシー | 気道浮腫、膨疹、腹痛 | ー |
| ACSの関連痛 | 胸部症状(咽頭所見に乏しい) | 心電図、トロポニン |
| 大動脈解離の関連痛 | 胸背部症状 | 腹部造影CT |
| 気道異物・熱傷 | 状況確認 | X線、CT |
頻度の高い咽頭痛を鑑別
ウ:ウイルス性咽頭炎、伝:伝染性単核球症、細:細菌性咽頭炎
| 問診、身体診察 | 検査 | ||
| ウ | 上気道炎(感冒) | 鼻・咽頭・下気道の3症状 | ー |
| COVID-19 | 周囲の感染状況 | 抗原検査 | |
| インフルエンザ | 周囲の感染状況 | 抗原検査 | |
| アデノウイルス | 周囲の感染状況 | 抗原検査 | |
| 伝 | EBV | 発熱、扁桃白苔、後頸部リンパ節腫大 | |
| CMV | 同上 | ||
| HIV | 口内炎、発疹 | ||
| 細 | 溶連菌性咽頭炎 | 修正Centerスコア:2点以上→ | 溶連菌迅速検査 |
| クラミジア | 長引く咽頭痛 | ||
| 淋菌 | 長引く咽頭痛 | ||
| 他 | GERD | 発熱なし | |
| 亜急性甲状腺炎 | 甲状腺の圧痛 | ||
| 無顆粒球症 | 抗甲状腺薬内服 |
Disposition
| 入院 | 咽頭痛による嚥下困難、摂食不良、急性喉頭蓋炎、扁桃周囲膿瘍は入院適用 |
| 帰宅 | 急性喉頭蓋炎や扁桃周囲膿瘍は、数日の咽頭痛の後、急激に増悪する経過を取る。 患者や家族には、呼吸苦の出現 or 4〜5日以上発熱が続く場合は再診するよう指示する。 |
①急性喉頭蓋炎(声門上炎)
| 疫学 | 3〜6歳、成人に好発 |
| 病態 | 主に細菌感染によって喉頭蓋が蜂巣炎を起こして腫脹し、致命的な気道閉塞をもたらしうる緊急疾患。咽頭痛発症から呼吸苦出現までの時間が早いと緊急性が高い! ※気道閉塞のリスクあるため、仰臥位にしない(CTは危険) |
| 原因菌 | インフルエンザ桿菌(Hib)、レンサ球菌、肺炎球菌、黄色ブドウ球菌 |
| 症状 | ①咽頭痛(91%):喉頭蓋の炎症 ②嚥下障害(82%)、流涎(22%):咽頭狭窄 ③吸気性呼吸困難(37%)、声の変化(33%):喉頭蓋浮腫 ※窒息直前までSpO2は正常であることがほとんど ④発熱(26%):炎症のため |
| 所見 | 視診:咽頭痛を訴えるが咽頭所見に乏しい(症状と口腔所見の解離!) ※扁桃周囲膿瘍に合併することもあるため咽頭に所見があっても否定できない! ※舌圧子や喉頭鏡による咽頭部診察は嘔吐反射により窒息を誘発するため禁忌! 触診:舌骨部の圧痛 聴診:吸気性喘鳴(stridor) |
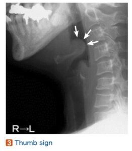
| 検査 | 【血液検査】 白血球数・CRPの上昇を認めることが多い 【画像検査】 喉頭高圧X線側面像:thumb sign うつ伏せで頸部造影CT:矢状断像で腫大した喉頭蓋(vallecula sign、thumb sign) |
| 診断 | 喉頭内視鏡で喉頭蓋の発赤・腫脹を確認![]() |
| 治療 | ![]() ①気道緊急が疑われる場合、気管挿管(緊急時は外科的気道確保) ②第3世代セフェム系点滴静注 例:CTRX2g/日 7〜10日間 例:CEZ1g/日 7〜10日間 ③ステロイド点滴静注 例:メチルプレドニゾロン(ソルメドロール®)1mg/kg+生食100mL ![]() |
②扁桃炎・扁桃周囲膿瘍
耳鼻咽喉科のCommon diseases(扁桃炎・扁桃周囲膿瘍)を参照
③咽後膿瘍
| 疫学 | 1歳前後の乳幼児に好発 成人では糖尿病やAIDSなどによる重症の免疫不全患者でみられる |
| 病態 | 咽頭炎・扁桃炎、異物(魚骨、歯ブラシ外傷など)が原因となり、炎症による膿瘍が咽頭後隙にある咽頭後リンパ節に生じる疾患。 |
| 症状 | ①咽頭痛・嚥下痛、頸部痛、発熱、嚥下困難 ②呼吸困難をきたす場合もある 合併症:尾側に拡大して縦隔炎、内頸静脈血栓症、壊死性筋膜炎、敗血症など |
| 所見 | 視診:咽頭後壁の腫脹、斜頸 触診:圧痛を伴う頸部腫脹 |
| 検査 | 【画像検査】 頸部造影CT:咽頭後壁の腫大、中心部に低吸収(膿瘍、ガス) ![]() |
| 治療 | ①切開・排膿が原則となるため、耳鼻咽喉科医(小児の場合は小児科医)のいる病院へ紹介する。 ②すぐに紹介ができない場合 ![]() |
④口腔底蜂窩織炎・膿瘍(Ludwig’s angina)
| 病態 | 多くは歯科領域の感染症に由来し、口腔底感染→顎下間隙・舌下間隙→両側頸部蜂窩織炎に至った疾患。 |
| 症状 | 咽頭痛というより顎下部腫脹が多い、発熱、開口障害 |
| 所見 | 下顎〜頸部にかけての腫大、舌腫大と前方偏位 |
| 検査 | 造影CT |
| 治療 | 抗菌薬、切開排膿、原因菌の抜歯、気道確保になることは稀 |
⑤Lemierre症候群(レミエール症候群)
| 疫学 | 稀な疾患、若年成人に多いとされている |
| 病態 | 口腔・咽頭領域の先行感染(齲歯、急性扁桃炎、扁桃膿瘍など)の後に、炎症が内頸静脈に波及し、血栓性静脈炎を生じ、血行性に全身に行き(菌血症)、全身の膿瘍形成を伴う疾患(敗血症性肺塞栓症など)。 |
| 原因菌 | 起炎菌の70%は嫌気性菌のFusobacteriun necrophorun |
| 症状 | ①先行する歯痛・咽頭痛→頸部の激痛と腫脹 |
| 検査 | 血液検査:炎症反応高値 頸部造影CT:内頸静脈内に血栓が造影不良域として描出 胸部CT:敗血症性肺塞栓症(両側びまん性すりガラス影、胸膜に接する楔形陰影など) ![]() |
うつ伏せで頸部造影CT:矢状断像で腫大した喉頭蓋(vallecula sign、thumb sign)


触診:圧痛を伴う頸部腫脹




コメント